Non Solo Endoscopia, un sito del Dottor Patrizio Stornelli
Non Solo Endoscopia, un sito del Dottor Patrizio Stornelli

News

L'ecografia nella pratica clinica gastroenterologica

Il ruolo dell'ecografia nella diagnostica di lesioni gastrointestinali.

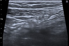
Qui a fianco è riportata l'immagine di leiomioma della parete gastrica individuato con ecografia di superficie standard B-mode e confermato con studio ecoendoscopico

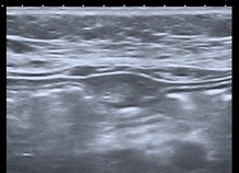
Quadro ecografico di colon irritabile con aspetto pseudodiverticolare

Lo screenin con il dosaggio della calprotectina fecale è efficace nella diagnosi delle malattie infiammatorie intestinali

I livelli di calprotectina fecale possono predire l’insorgere di una malattia infiammatoria intestinale (IBD) con elevati livelli di accuratezza e precisione

Il Dr. Park e colleghi della Califorina, hanno valutato il rapporto costo-benefici utilizzando la calprotectina fecale per identificare adulti e bambini che necessitano di essere sottoposto ad esame endoscopico per confermare una IBD utilizzando un criterio decisionale analitico. Il cut-off del processo decisionale per optare una eventuale endoscopia digestiva era tra i 100 μg/g vs 50 μg/g. Negli adulti, lo screening con la calprotectina fecale ha permesso di risparmiare $417 per paziente, ma ha comportato il ritardo diagnostico per 2 dei 32 pazienti con IBD sui 100 sottoposti a screening

Nei bambini, lo screening ha permesso di risparmiare circa $300 per paziente con ritardato diagnostico per 5 su 61 pazienti con IBD dei 100 sottoposti a screnning. Fissando il cutoff   a 50 μg/g si ottiene un ulteriore aumento di costo di circa $55 per gli adulti e $43 per i bambini a fronte di un guadagno diagnostico di 2 e 6 IBD rispettivamente per 100 soggetti adulti e bambini.

Il Dr Park con i suoi colleghi, concludono affermando che il dosaggio della calprotectina fecale è efficace in termini di costi nell’identificare i pazienti con IBD sia nel caso di adulti che bambini. L’accuratezza diagnostica è maggiore con un cutoff ≥50 μg/g.

Clin Gastroenterol Hepatol 2014: 12(2):  253-262.e2
24 January 2014

Contatti per gli appuntamenti

CASA DI CURA L'IMMACOLATA

CELANO (AQ) - 67043

 Tel.: 0863 1942100 -

 

 

STUDIO MEDICO

Avezzano, Via Tarantelli, 1 (AQ)

Tel.: 0863 411858

News

Nuovo sito web

Visitate il nostro sito! Troverete informazioni sul nostro studio medico Non Solo Endoscopia di Avezzano e le ultime novità nel campo della medicina.

 

Tutte le novità

Informazioni per i pazienti

Qui troverete tutte le informazioni di cui avete bisogno per appuntamenti e visite presso il nostro studio medico.

Stampa | Mappa del sito
© Non Solo Endoscopia Via Filippo Brunelleschi 195 67051 Avezzano Partita IVA: