Non Solo Endoscopia, un sito del Dottor Patrizio Stornelli
Non Solo Endoscopia, un sito del Dottor Patrizio Stornelli

Ecografia

Non Solo Endoscopia offre i seguenti tipi di ecografie:

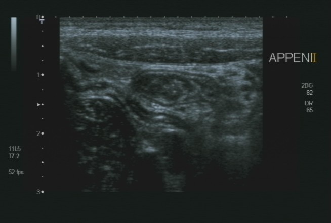
Lo studio medico privato del Dottor Patrizio Stornelli è ad Avezzano è dotato di un'attrezzatura ecografica moderna. Oltre alla ecografia addominale dei parenchimi, si esegue l'ecografia gastroenterolgica ed in particolare l'ecografia del tenue, che consente la diagnosi ed il follow-up particolaremente dei paziente con malattia di Crohn, ma anche l'ecografia del colon. Grazie a questo approccio è possibile scansionare interi segmenti del colon con particolare riguardo alla patologia diverticolare ma anche di indiduare l'appendice e di porre diagnosi di certezza di eventuale appendicite acuta.

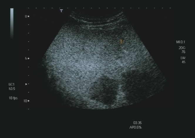
Particolare importanza per lo studio delle patologie focali epatiche, è l'ecografia epatica con mezzo di contrasto o CEUS. La metodica unitlizza ultrasuoni a basso indice meccanico e un ecoamplificatore rapresentato da microbolle iniettate in vena; questo sistema permette in real time la stessa semeitoca TAC o RMN per lo studio delle lesioni focali epatiche.

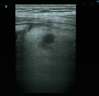
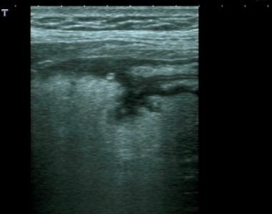
Oltre all'ecografia gastrointestinale, l'ecografia tiroidea rappresenta un altro campo specialistico di vasta esperienza con esecuzione della diagnostica base, il colordoppler e doppler tiroide e lo studio elastografico delle lesioni nodulari tiroidee altrimenti detta elastografia. Questa metodica permtte lo studio della elasticità dei tessuti e considerando che i tessuti neoplastici tendono ad essera di consistenza aumantata, l'elastografica ci aiuta a selezionare i noduli da sottoporre ad campionamento citologico con FNAB.

Contatti per gli appuntamenti

CASA DI CURA L'IMMACOLATA

CELANO (AQ) - 67043

 Tel.: 0863 1942100 -

 

 

STUDIO MEDICO

Avezzano, Via Tarantelli, 1 (AQ)

Tel.: 0863 411858

News

Nuovo sito web

Visitate il nostro sito! Troverete informazioni sul nostro studio medico Non Solo Endoscopia di Avezzano e le ultime novità nel campo della medicina.

 

Tutte le novità

Informazioni per i pazienti

Qui troverete tutte le informazioni di cui avete bisogno per appuntamenti e visite presso il nostro studio medico.

Stampa | Mappa del sito
© Non Solo Endoscopia Via Filippo Brunelleschi 195 67051 Avezzano Partita IVA: